虫歯、歯周病から大切な歯を守るために
お口の病気として代表的なのが「虫歯」と「歯周病」。原因はどちらもプラーク(歯垢)です。つまり、プラークをあらかじめきちんと取り除けていれば、虫歯や歯周病は予防することができます。また、一旦治療が終わったにもかかわらず、しばらくすると再発しやすいという性質を持つのが、この二つの病気です。治療後にも油断せず、再発を予防する意識が大切なのです。
予防の基本は毎日のご自宅でのブラッシングですが、残念ながらそれだけでは十分とはいえません。歯科医院での定期的なチェックと、専門的なメインテナンスがとても重要になります。こちらでは予防歯科の役割や、予防の大切さについてくわしくご紹介します。

定期検診の重要性
虫歯や歯周病は、初期には自覚症状がないため、気づいたときにはかなり進行してしまっていた……ということが少なくありません。定期検診に通っていれば、もし治療が必要な箇所が見つかっても早期に対応できるため、治療を簡単に終えることができます。
悪くなってからの治療では、歯や歯ぐきが受けるダメージが大きくなるのはもちろん、治療の痛みや回数、費用などの負担も大きくなってしまいます。予防によって大切な歯を守り、また早期発見・早期治療を可能にするために、大阪狭山市のふくなが歯科クリニックでは3~6ヶ月に1度の定期検診をおすすめします。
「ふくなが歯科クリニック」の予防歯科

EMSエアフロー
プロフィラキシス マスター


当院では新しいコンセプトにて予防とメインテナンスを施術しています。
当院はGBT®(GUIDED BIOFILM THERAPY)という新しいコンセプトに基づいてEMSエアフロー プロフィラキシスマスターを使用し施術を行っています。 必要以上に歯を傷つけず、最小限のパワーで歯石、バイオフィルムを除去。
従来の定期健診によるメインテナンス方法では研摩剤や使用器具を使用する歯のメインテナンスでは歯の表面に傷が付き、歯肉が退縮し歯の根面が露出し知覚過敏の原因になっていました。さらに手用器具は歯肉を傷つけ痛みを生じさせる可能性がありました。
そこで当院はEMSエアフローの最上位機種のエアフロープロフィラキシス マスターを2台導入し予防、メインテナンス来院患者様へ随時、施術を提供できるようにしております。
当院はGBT®認定歯科医院であり、施術はGBT®認定資格を持った者が施術させていただいております。
治療内容
①
染め出し液で染出されたバイオフィルムを目安にアプローチするので、必要以上の施術は行いません。
早期歯石の除去が可能。効率的なアプローチにより従来のメインテナンス方法に比べて施術時間が短縮できます。

バイオフィルム(青色)
歯肉縁上及び縁下4mmまでのバイオフィルムを効率的に除去します。

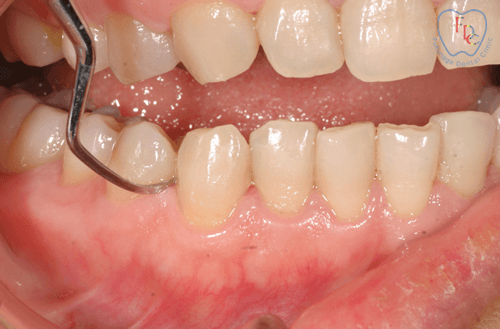
治療後

②
はじめにエアフローでバイオフィルムを除去するため、手用器具や超音波機器の使用を減らすことができます。
機械音や手用器具での施術が苦手な患者に対しての不安を軽減。また歯面や修復物・インプラント補綴等に対して安全かつ効果的で非常に低侵襲なメインテナンス方法です。

ステイン
紅茶、コーヒー、タバコ、赤ワインなどによる、軽度から重度までのステインを歯に傷を付けないよう除去します。

治療後

③
ラバーカップやブラシ、研磨ペーストを用いた歯面研磨は行わないため歯に傷は付きません。
エアフローを使用することでラバーカップで行き届かなかった部位にもアプローチできます。歯肉に機械的な刺激を与えることがないので、苦痛を減らした快適な施術ができます。
歯に細菌が付いている
清掃前の残存バイオフィルム
歯の表面に傷がついている
研磨ペーストによる「研磨」後
傷が付かず細菌が除去されている
エアフローパウダー プラスに
よる清掃後
EMSエアーフローと従来の治療方法の違い
EMSエアーフロー:矯正ブラケットが付いている場合
EMSエアーフロー:通常のメインテナンス
EMSエアーフロー:深い歯周ポケットの場合の清掃方法
位相差顕微鏡による細菌検査
お口の中には虫歯菌や歯周病菌をはじめとする、数多くの細菌が棲んでいます。そこで当クリニックでは、位相差顕微鏡を使ったお口の中の細菌の種類や数を特定する検査によって確実な診断を行っています。

ブラッシング指導
予防の基本となる毎日のブラッシングは、「正しく」できているかが大切なポイント。当クリニックでは、患者様一人ひとりのお口の状況に合わせた適切なブラッシング方法を指導します。また歯ブラシやフロスなど、デンタルグッズの選び方などもご紹介します。

フッ素塗布
歯の再石灰化を促し、虫歯菌の出す酸に対する抵抗力を高める効果を持つフッ素。定期的に歯の表面に塗布すれば、歯を強くすることができます。ごく初期の虫歯であれば、この処置によって治癒が見込めることもあります。
PMTC
お口の中には細菌が集まったバイオフィルムが形成されており、これはブラッシングだけでは落とすことができません。そこで重要になるのが、歯科衛生士による専門的なお口のクリーニング「PMTC」です。すみずみまでの汚れが取り除かれ、虫歯や歯周病予防に効果的です。
プロフィー
歯の表面に付着したタバコのヤニ、茶渋、コーヒーなどの着色・汚れを落とす処置です。重炭酸ナトリウムの粉を吹き付けることで、歯を傷つけずに汚れを落とし、安全に歯の白さを取り戻します。









































